Tingo Salud
Ver, Oir y Sentir a tu bebé ¿Te imaginas su carita?
Ecografía General
Es un examen que usa ultrasonido para ver los órganos internos sin radiación. Es rápido, seguro y no duele.
VER MÁS
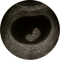
Ecografía Gestacional
Es un examen con ultrasonido que permite ver al bebé durante el embarazo para controlar su crecimiento, latidos y desarrollo.
VER MÁS
Comprueba que tu bebé esté saludable.
